59305 Van Dyke Avenue, Washington Township, MI 48094
Call Now:















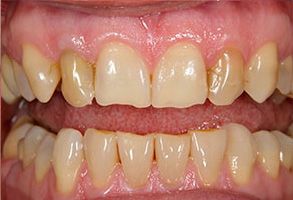
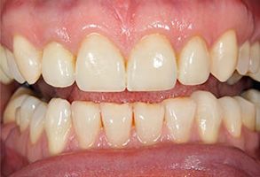
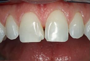
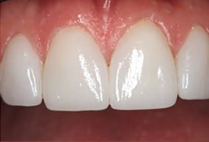
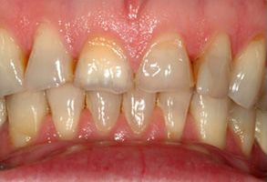
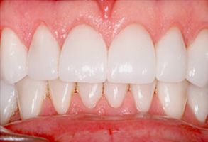
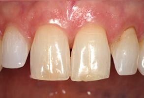
Our team's mission is to provide quality dental care, a positive interaction and promote the cosmetic, functional and psychological needs of each patient in an enthusiastic, friendly and inviting environment